The Search Engine Google is showing a Doodle in Northern Hemisphere countries for marking the Autumn Equinox.
In Northern Hemisphere, today i-e 22nd Se...
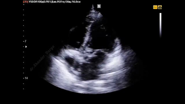
В данном видео мы покажем клинический случай: мужчина 43 лет с жалобами на одышку, утомляемость, слабость, эпизоды потери сознания. При эхокардиографии ...
#The_Sims_4 #7_пятниц_на_Неделе
Поддержка канала - https://donatepay.ru/don/179659
Группа вк - https://vk.com/uki_agacuma_sims_4
Правила челленджа - htt...
"ПОСВЯЩЕНИЕ В МАГИЮ"- обучающий курс
В этот курс входит 10 занятий по два часа, занятия проходят только индивидуально как онлайн так и офлайн.
На этих...
This video was made using the leaked build and is subject to change!
Shop on Amazon? Use this line to support the channel! You don't pay any extra and ...
Наш сайт http://www.Lider-Comp.ru
Наша группа http://vk.com/LiderCom
Был мастер из компании «Лидер КОМП». Звать его Эдгард. Сделал все. Мне понравилось...