Я в ВК https://vk.com/tvoy_kxsmos
Группа ВК https://vk.com/kxsmic
Канал ТГ https://t.me/kxsmic_music
Плейлист с треками можно найти на странице ВКонта...
Автор: Леся Ах
Читает: СеЛена - @selena9409
***
Если вовсе не думать – выход,
Окуните меня в безумства,
Сотни тысяч пустых попыток
Неудачными признают...
Валентин Сорочан - Мой Блюз
Композиция папы в моей аранжировке.
____________________________________________
Valentin Sorochan - My Blues
My Dad's comp...
Всем привет! Проходите располагайтесь! Сегодня играем в новенькую total war warhammer 3 . Уже руки чешутся.
Дата выхода:17 фев. 2022
Разработчик:CREA...
A disc revovles with a speed of `33 (1)/(3) rev//min` and has a radius of 15 cm Two coins are palaced at 4 cm and 14 cm away from the center of the reco...
Go to playlist http://www.youtube.com/playlist?list=PLxq3xqBOfFqIhswm6wXMFoFVOsClBRL2E Harrisonburg VA conference 2012 - Молодёжная конференция 11.22-24...
В своем интервью журналист и писатель В. Четерян/V. Cheterian (Швейцария) критически подходит к вопросу о том, должна ли армянская диаспора направлять д...
Решенные примеры по алгебре 7 класс https://www.youtube.com/playlist?list=PLCrA1G_tvIUtZe5f-wgB7xxvH-C0OgdYJ по учебнику Макарычева лучше обычных гдз в ...
My IELTS certificate: https://t.me/emuallimm/3246
The Reading and the speaking video course: https://t.me/prodos/3154 In this video, I’m gonna tell you...
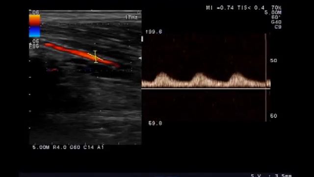
Стенки ПББА с гиперэхогенными включениями, кровоток коллатеральный
Перейти к лекции https://medprinting.ru/lekciya-3-ultrazvukovoe-issledovanie-arterij-...
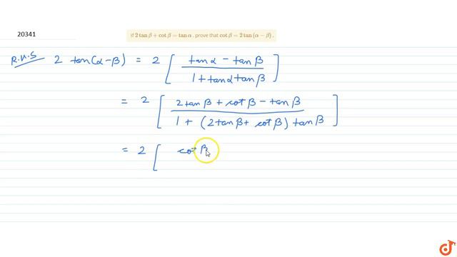
This is the Solution of Question From RD SHARMA book of CLASS 11 CHAPTER TRIGONOMETRIC FUNCTIONS This Question is also available in R S AGGARWAL book of...