This song Is From The Album: Bingo Patties and Mango Machines
"Cheese Coat MacTafferson's title would have you fooled. The first line in the song debun...
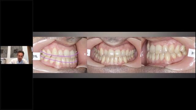
Что может быть лучше, чем узнать о всех особенностях аппаратуры напрямую от ее создателя ?
⠀
Доктор Луис Кэрриер – д.м.н., врач-ортодонт, лектор междуна...
Is Etsy still worth it in 2022? What are the pros and cons of starting an Etsy shop in 2022? Is it still a good place to sell on or is it just too satur...
Салем достар??
Бұл каналда сіздер бонбоньерка тойбастар ар турли заттарды жасап уйренесіздер!
Жане менде бесплатный телеграм канал бар ол жерде мен ар...
Куличи из творожного дрожжевого теста - мягкие, воздушные и очень вкусные. А глазурь, приготовленная на желатине, после застывания не осыпается, не крош...
Сегодня буду пробовать самый американский Кит Кат со вкусом Чизкейка. Вкусно это или нет? Стоит ли брать? Обо всем этом и многом другом узнаете в этом в...
ОЛЕ Пари 8х8. Зимний турнир. Звезда. Первый дивизион
19.11.2023. 1 тур
стадион «Звезда», ул. Полевая Сабировская, д. 52
Мы в ВК: https://vk.com/piterf...
Очень красивый простой ажурный узор спицами (+ схема) для плечевых изделий: джемперов, свитеров, кофточек, топов, кардиганов, а также для платья спицами...
Мой авторский рецепт бананового коктейля, который Вас удивит не тем, что очень вкусный, а своей необычной подачей) Уже интересно?) - смотри до конца!
П...