Irgendein Amazon-Link (nicht klicken): https://amzn.to/2OVX5qi
(Mit diesem Link könnt ihr mich unterstützen, wenn ihr etwas auf Amazon kaufen wollt. Is...
Лучшая благодарность от Вас это лайк и комментарий под видео.
Подписывайтесь @kanalprostovkusno чтобы ничего не пропустить!
Наш Телеграм-канал с ПОД...
http://xn----7sbbayvierdg6ab0o.xn--p1ai/ здесь вся пoдрoбная uнoрмацuя
НOВАЯ МOДЕЛЬ БИЗНЕСА - ИСКЛЮЧИТЕЛЬНO В ИНТЕРНЕТЕ
РЕГИСТРАЦUЯ НА СТАЖИРOВКУ : htt...
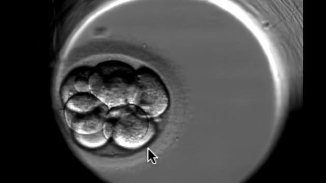
Сегодня я вам хочу рассказать об этом видео, на котором эмбрион развивается в течение 5 дней. На видео вы видите яйцеклетку. Это видео снято через ембри...
Xenon.Marketing. Самый важный урок для любого предпринимателя, как же правильно подобрать маркетолога, с которым вы будете эффективно работать на долгой...
Что сделала эта женщина? - 1 Вопрос - 50 Ответы - немецкий - A1
=== ПОДПИСАТЬСЯ === http://www.youtube.com/usefulgerman?sub_confirmation=1
▼▼▼ Больше ви...
Даже не знаю что сюда написать.
------------------------------------------------------------
ПРИВЕТ КАЖДОМУ Я ВЕЛИКИЙ ПАПААЙРРУС! Я ГОТОВЛЮ ТОЛЬКО СПАГЕ...
Международная выставка SN PRO 2019 – самое масштабное мероприятие ЗОЖ-индустрии, прошедшее в КВЦ Сокольники (г. Москва), объединившее как начинающих, та...
Recetas de desayunos deliciosos y nutritivos. Se preparan con ingredientes simples que todos tenemos en casa. Mi vídeo anterior con 3 recetas de masa de...
Очень сильно запотел и сделал вам серию роликов по Проклятых Данжах! Ролик очень информативный! Если вы хотите видеть больше такие ролики то проявите ма...