ОДЕССА 90-Е - НАЧАЛО 2000❗️?СТАРАЯ ОДЕССА НА ФОТО УКРАИНА❗️OLD ODESSA UKRAINE 1990-2000❗️? - https://youtu.be/kQPQ2xkyJX0
ОДЕССА НАЗАД В 90-Е❗️КИНОХРОН...
ZSAR OUTLET VILLAGE это самый большой и новый аутлет в Финляндии, который находится рядом с границей. Хочешь закупиться барахлишком? Скидки есть всегда....
Всем привет!
В этом видео - отчет о прочитанном в последнем осеннем месяце. Зима уже не просто близко, она вступила в свои права - поэтому утепляйтесь, ...
Как и все средневековые города, Минск начал строиться вокруг замка, который был заложен в XI веке. В начале нынешнего проспекта Победителей, возле станц...
Новогрудский замок — одна из мощнейших крепостей в Великом княжестве Литовском. Был построен в 13 веке. Архитектурный стиль — готика.
Таймлапс снят 31 ...
Привет! Меня зовут Регина, мне 26.
Стримы проходят:
ВТ ЧТ СБ
19:00 мск
Подписывайся на мои соцсети! Там контент, не вошедший в мои бложики :)
VK - ht...
Azri,Nabeel, Nabil & Chris talk about life in Saudi...these boys talk about beliefs and values, authority, school, stereotypes, style and fashion, leisu...
Деревенская жизнь с нуля. Переезд из города в деревню. Спокойная жизнь в деревне. Построили дом в деревне. Подмосковье северо - запад. Наша жизнь в дере...
DAMAX TRAVEL - главный эксперт по экзотическим направлениям
Полезные ссылкина на наши WEB ресурсы:
Сайт компании - https://damaxtravel.com
Поиск туров...
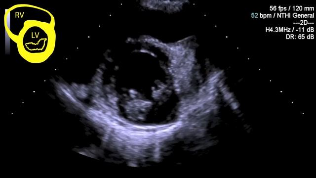
The video provides a step-wise approach to performing Level 1+ trans-thoracic echocardiography. This approach is useful for critical care practitioners,...
Отзыв об Ахаус-отеле. Город Москва, Нахимовский пр-т д. 2. Прожил там 28 дней в начеле 2017 года в трех разных номерах. Питание не включено, но зато в ...